Geschichte mit Happyend – Große Operation vom Kater Fritz
Geschichten, die das Leben schreibt...es gibt immer besondere Zufälle, die dann zu einer schönen Geschichte mit Happyend führen. Ich kenne das Frauchen von Fritz, die mir so ganz nebenbei vor kurzem einmal die Geschichte von ihrem jungen Kater Fritz erzählte, was ihm passiert war. Und als ich dann fragte, wo der schwer verunfallte Fritz denn „geheilt“ worden sei, nahm diese Story ihren Anfang, denn ich kenne auch die behandelnde Chirurgin mit ihrem Engagement für die Tierrettung München.
Geschichte von Fritz, erzählt von seinem Frauchen Astrid
Am Abend des 8. August 2021 kam Fritz nicht nach Hause. Gegen 19 Uhr erreichte mich der Anruf von einem Tierarzt, der mir mitteilte, dass Fritz schwerverletzt bei ihm abgegeben worden sei und es ihm nicht gut gehe. Unser junger, roter Kater Fritz war vermutlich angefahren worden und konnte seine Hinterläufe nicht mehr bewegen. Wir brachten ihn sofort nach Weilheim in die Tierklinik, wo das erste Röntgenbild einen beidseitigen Bruch des Beckens zeigte. Fritz wurde stationär aufgenommen und mehrere Tage intensiv behandelt, bevor er operiert werden konnte. Nach der Entlassung aus der Klinik folgten sechs Wochen Bewegungseinschränkung in einem Käfig. Er durfte sich weder im Haus noch im Garten frei bewegen. Danach blieb ihm der Freigang in der Natur noch für weitere vier Wochen versagt. Fritz war sehr geduldig und so brav, seine Katzenfreundinnen Mona und Lisa leisteten ihm Gesellschaft. Unsere Streicheleinheiten waren unzählbar... Die Operationswunden sind sehr gut verheilt, die Verletzungen machen keine Probleme mehr. Der junge Fritz ist wieder „ganz der alte“ und erfreut sich eines wundervollen Katzenlebens!
Bericht aus der Tierklinik
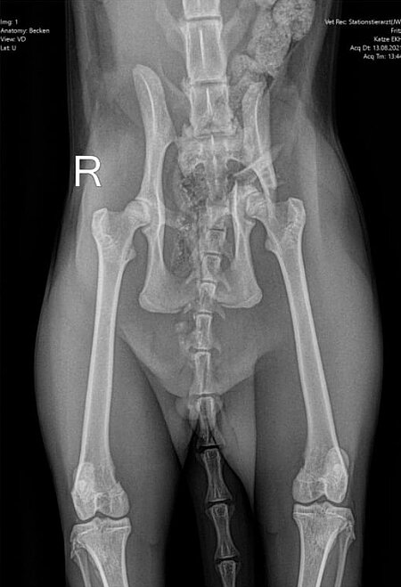
Bei der Einlieferung war der Kater in einem schweren Schockzustand, sodass sein Kreislauf zunächst mit Infusionen und Schmerzmedikamenten unter dem Rotlicht stabilisiert werden musste. Nachdem eine leichte Besserung eingetreten war, wurde eine Ultraschalluntersuchung des Bauchraums durchgeführt, um lebensbedrohliche innere Blutungen auszuschließen und ein erstes röntgenologisches Screening in Form von zwei Übersichtsaufnahmen. Dabei stellte sich heraus, dass Fritz neben den schon erwähnten Beckenfrakturen, die häufig mit einem massiven Blutverlust in den Beckenraum einhergehen, auch leichte Lungenverletzungen erlitten hatte. Unter der Schocktherapie besserte sich das Allgemeinbefinden des Patienten innerhalb weniger Tage. In den regelmäßigen Laborkontrollen war jedoch am 11. August eine ausgeprägte Anämie erkennbar, weshalb Fritz noch eine Bluttransfusion erhielt.
Am 13. August, also fünf Tage nach dem Unfall, entschied man sich dann zur Operation, da die Verlaufsuntersuchung dank der wiedergewonnenen Reaktionsfähigkeit des Patienten jetzt den Verdacht einer begleitenden Verletzung des rechten Ischias Nerven aufkommen ließ. Durch Vorbiegen einer Knochenplatte an einem Beckenmodell wurde der Eingriff sorgfältig vorbereitet, um die Operationszeit möglichst kurz halten zu können.
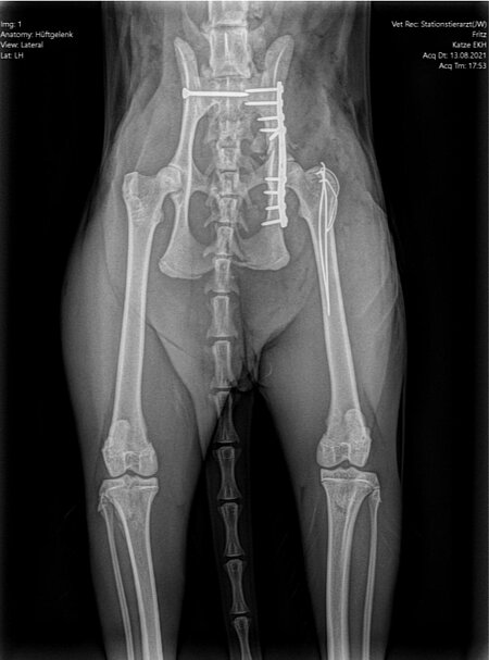
Zuerst wurden das ausgerenkte rechte Kreuz-Darmbein-Gelenk sowie der in seiner unmittelbaren Nachbarschaft verlaufende Ischias dargestellt und das Darmbein nach seiner Reposition mit einer 2,0 mm dicken und 24 mm langen Schraube an den Kreuzbeinkörper fixiert. Nach dem Wundverschluss wurde der Kater auf die andere Körperseite gelagert und sodann der direkt vor der Hüftgelenkspfanne Eine weitere Schraube diente der Adaptation eines Darmbeinsplitters an die Hauptfragmente. Da die Freilegung dieser Beckenregion meistens auch einen Knochenschnitt am Oberschenkel zum Verlagern der Kruppenmuskeln erfordert, wurden die Endsehnen dieser Muskeln mit dem knöchernen Segment abschließend durch 2 Bohrdrähte und einer 8-förmigen Drahtschlinge wiederbefestigt.
Röntgenbilder mit freundlicher Genehmigung Tierklinik Weilheim.
Sieben Tage nach der Einlieferung in die Klinik und drei Tage nach der Operation konnte Fritz bei gutem Allgemeinbefinden nach Hause entlassen werden.
Zu diesem Zeitpunkt war er in der Lage, selbstständig zu stehen. Die Ausfallerscheinungen des Ischias hatten sich durch das Einrenken des rechten Kreuz-Darmbein-Gelenks bereits gebessert. Auch die Stellreaktionen des rechten Vorderbeins, das nach den Röntgenbildern eine Prellung, aber keine Knochenverletzung erlitten hatte, waren schon wieder fast normal. Noch deutlicher waren die neurologischen Fortschritte beim Entfernen der Hautfäden eine Woche später. Trotz der positiven Entwicklung musste jedoch zur Ruhighaltung des Patienten für mindestens sechs Wochen geraten werden, damit alle Verletzungen des Beckenrings, auch die nicht fixierten Frakturen des Beckenbodens, heilen konnten.
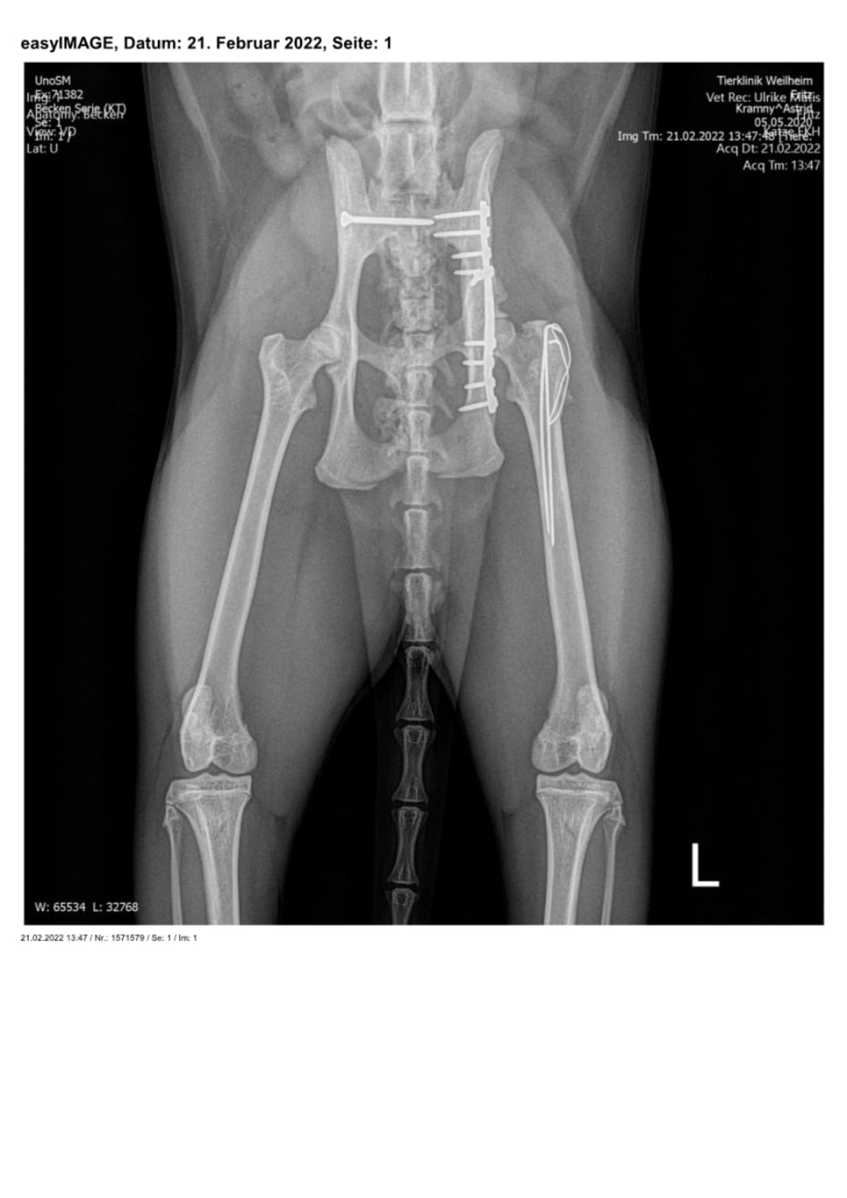
Bei der Nachuntersuchung des Patienten sechs Monate später präsentierte sich der Kater völlig beschwerdefrei und war sowohl in der Beckenregion als auch an den Gliedmaßen kräftig bemuskelt. Die Knochenbrüche waren sehr gut geheilt, ohne Einengung der Beckenhöhle und ohne die Ausbildung einer Hüftgelenksarthrose. Von einer Entfernung der Implantate wurde abgesehen, da alle Metallteile reizlos und ohne Lageveränderung integriert waren.
Es gibt häufig Verletzungen des Beckenrings bei Katzen und Hunden.
Verletzungen des Beckenrings gehören bei Katzen und Hunden zu den häufigsten Knochenbrüchen und entstehen meistens bei einem Unfall im Straßenverkehr. Durch die Wucht der Gewalteinwirkung handelt es sich vorwiegend um schwere Verletzungen, die nicht selten mit einem lebensbedrohlichen inneren Blutverlust einhergehen und besonders am Kreuz-Darmbein-Gelenk sowie dem Darmbeinkörper zu Einklemmungen des Ischias Nerven führen können.
In diesen Situationen kann es besonders schwierig sein, den richtigen Zeitpunkt für eine Operation festzulegen. Einerseits ist die frühzeitige Beseitigung der Nerveneinklemmung für die Chance auf eine rasche und vollständige Erholung des Nerves wichtig. Andererseits darf mit der Operation aber die Überlebenschance des Patienten nicht gefährdet werden, weshalb die Schocktherapie in der Anfangszeit Vorrang hat.
Bei Fritz war die Operation erst fünf Tage nach dem Unfall vertretbar, nachdem sich sein Zustand durch die Intensivtherapie stabilisiert hatte. Zu diesem Zeitpunkt war die Nervenschädigung glücklicherweise noch reversibel, während es bei lang andauernden Einklemmungen und Einmauerung des Nervs durch Knochenneubildung im Zuge der Heilung zu irreversiblen Lähmungen kommen kann. Eine weitere Gefahr bei Beckenfrakturen, die der Selbstheilung überlassen werden, ist die Verengung der Beckenhöhle, als deren Folge immer wiederkehrende Darmverstopfungen bis hin zur Dickdarmlähmung keine Seltenheit sind. Nicht zuletzt entstehen nach vielen Darmbeinbrüchen – wie auch bei Frakturen der Hüftpfanne selbst – Arthrosen im Hüftgelenk, die Anlass für schmerzhafte Einschränkungen sein können. Generell muss man jedoch feststellen, dass Verletzungen des Beckenrings auch spontan, d.h. ohne Operation heilen können, sodass der Chirurg die Risiken einer Operation den Komplikationsmöglichkeiten einer konservativen Behandlung sorgfältig gegenüberstellen muss. Die Schwierigkeiten dieser verantwortungsvollen Abwägung ergeben sich vor allem aus der allgemeinen Erfahrung, dass Tiere mit Beckenbrüchen häufig auch ohne Operation wieder gehfähig werden. Eine perfekte operative Stabilisierung von Beckenbrüchen ermöglicht dem Patienten allerdings eine schnellere Erholung im Vergleich mit konservativ behandelten Tieren, die meist lange Zeit schmerzhaft und dadurch sowohl beim Kot- und Urinabsatz eingeschränkt als auch gehbehindert sind.
Fritz hatte das Glück, dass er nach dem Unfall rechtzeitig gefunden wurde, seinen schweren Schockzustand mit gezielter Therapie überleben konnte und dank einer guten Heilung seiner Beckenfrakturen auch in Zukunft eine uneingeschränkte Lebensqualität erwarten darf














